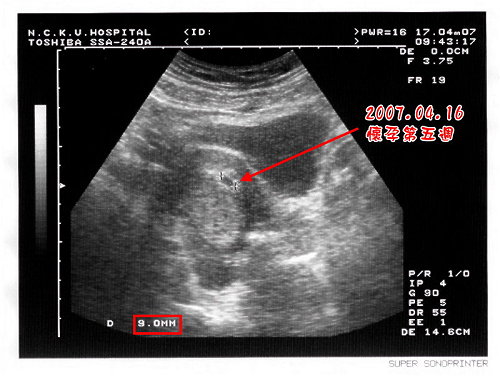
在得知老婆已經懷孕時,大約是懷孕五週時,當時超音波所照到的胚胎還只有豆子一般大,而老婆也還沒有明顯的孕吐現象。其實只要注意營養,懷孕初期也不會對日常生活有太大的影響。



一直到八週,產檢時已經可以看到心跳,在超音波上抖動,這個時候才能正式領到媽媽手冊(媽媽手冊在日後除了產撿之外,好處還很多喔~之後再說),慢慢的到了十二週左右,老婆開始有了孕吐和對特定食物的敏感。

什麼叫「害喜」?也許大家總是覺得,「害喜」就是孕吐,懷孕過了三個月就會好了;不過若是我們從字面上來看,中國人認為懷孕是一件好事,故謂「有喜」,那麼「害喜」就是懷孕初期的身體不適。因此,害喜的症狀千變萬化,有人吐得想死掉、不想生了,有人整天昏昏沉沉的,無時無地都想睡覺。日本人更是將害喜發揚光大,有「孕吐喜」、有「嗜睡喜」,還有專書討論。

回到正題,老婆剛開始是一大早醒來時,會有噁心的感覺,因為胃裡頭沒有東西,所以會空噁~需要準備一些蘇打餅乾類的在床邊,醒來的第一件事就是吞幾片餅乾,這樣會舒服很多。

再來就是對油煙味反感,只要用鍋子炒菜,油因為溫度升高而產生的油煙味,老婆就會受不了,所以好一陣子我們又恢復成「外食族」...但是,總不能叫鄰居不煮飯吧~每每到了早上11:00和下午5:00左右,就要趕緊將窗戶關上,免得家家戶戶的「菜飯香」給趁機飄了進來。懷孕的辛苦可見想而知。

難道外食就完全沒問題了嗎?...不...!!

首先是對豬肉say no!...應該說對大部分的肉類都敬而遠之,也許是賀爾蒙的關係吧...而且對滷製品和素食製品更是無法接受,偏偏早上出門時,巷口左手邊是一家素食早餐店賣到中午,晚上回家時換右手邊的魯味攤上場,賣到半夜。

在大約十二週到二十週這將近兩個月的時間裡,每天就為了吃三餐煩惱,不吃又怕寶寶沒有營養(但是書上說其實現代人營養都很足夠,所以不用怕寶寶會吸收不到營養),老婆又不喜歡吃些藥局賣的營養品,只好每天早上訂一瓶新鮮的羊奶,晚上泡一杯有機店賣的植物飲品,但兩個月下來,其實體重並未增加太多,但是肚子很明顯的已經開始膨脹了。

有的人懷孕不會孕吐、有的人會孕吐到生、但大部分的孕媽咪的症狀都差不多在懷孕三個月到五個月之間。幸好老婆只會反胃,真正吐出來也只有一次,算是很幸運的。

在害喜開始發生後的某一天,兩人不知道晚餐要吃什麼,老婆突然想吃板條,於是便驅車前往永康夜市的某一攤我們常吃的小吃攤吃,吃著吃著,老婆突然問道...

「你看我們是不是要幫寶寶先取個小名啊?」(待續)


全站熱搜
創作者介紹
創作者 cacachen 的頭像
cacachen

Caca's Blog

cacachen 發表在 痞客邦 留言(0) 人氣()